
Dental Local Anesthesia: Essential Insights for Every Dentist
Pain management is a crucial aspect of modern dentistry, ensuring patient comfort and facilitating effective treatment. Among the various methods available, local anesthesia stands out as the most used technique for pain control in dental procedures. By temporarily blocking nerve conduction, it allows dentists to perform treatments without causing discomfort to the patient.
Understanding the mechanism, classification, composition, complications, and contraindications of local anesthetics is important for every practicing dentist. While local anesthesia is generally safe and effective, improper administration or lack of awareness about its limitations can lead to complications. Therefore, staying informed about its fundamentals is vital for ensuring both patient safety and optimal clinical outcomes.
This blog provides a comprehensive yet concise overview of dental local anesthesia, helping you enhance your knowledge and refine your clinical approach.
What is local anesthesia?
Local anesthesia has been defined as loss of sensation in a circumscribed area of the body caused by depression of excitation in nerve endings or inhibition of the conduction process in peripheral nerves.
How does it work?
- Local anesthetics work to block nerve conduction by reducing the influx of sodium ions into the nerve cytoplasm.
- Sodium ions cannot flow into the neuron; thus potassium ions cannot flow out, thereby inhibiting the depolarization of the nerve.
- If this process can be inhibited for just a few nodes of Ranvier along the way then nerve impulses generated downstream from the blocked nodes cannot propagate to the ganglion.
- Voltage-dependent sodium channels block primarily open and inactivate sodium channels at specific sites within the channel.
- Depression of rate of the electric depolarization.
- Failure to achieve threshold potential.
- Lack of development of propagated action potential.
- Conduction blockade.

Classification of anesthesia
Local anesthesia can be classified into the following:
Based on Source of Occurrence:
- Naturally occurring, e.g. cocaine
- Synthetic: It can further be divided into two types:
- Nitrogenous compounds-
- Derivatives of Para-aminobenzoic acid (PABA), e.g. procaine- freely soluble, and benzocaine- poorly soluble.
- Derivatives of acetanilide, e.g. lignocaine (lidocaine, xylocaine)
- Derivatives of quinolone, e.g. cinchocaine (nupercaine)
- Derivatives of acridine, e.g. bucricaine (Centbucridine, Centblock)
- Non- Nitrogenous Compounds- Compounds, e.g. benzoyl alcohol and propanediol.
- Drugs with local anesthetic action, e.g., clove oil, phenol, chlorpromazine, and certain antihistamines such as diphenhydramine.
Based on Chemical Structure:
- Esters: These can be further classified into the following:
- Esters of benzoic acid, e.g., cocaine, benzocaine, and butacaine, piperocaine, tetracaine.
- Esters of para- aminobenzoic acid (PABA), e.g. procaine, chloroprocaine and propoxycaine
Ester drugs are less stable in solution and cannot be stored as long as amides. The esters when metabolized lead to the production of PABA, which is associated with allergic reactions.
- Amides, e.g. articaine, bupivaine, dibucaine, etidocaine, lidocaine, mepivacaine, prilocaine and ropivacaine. Amides are heat stable and very rarely cause allergic phenomena. Therefore, amides are now more commonly used than esters.
- Quinoline, e.g. centbucridine.
Based on Duration of Action:
- Short- acting- articaine, lidocaine, mepivacaine, prilocaine etc.
- Long- acting- bupivacaine, etidocaine, bucricaine, etc.
- Ultra-short-acting agents: These have a duration of action of less than 30 minutes.
- Procaine without a vasoconstrictor
- 2-chloroprocaine (1.2% or 3%) without a vasoconstrictor
- 2% lidocaine without a vasoconstrictor
- 4% prilocaine without a vasoconstrictor for infiltration
- Short- acting agents: The duration of action for these agents is 45-75 minutes.
- 2% lidocaine with 1:100,000 epinephrine
- 2% mepivacaine with 1:200,000 levonordefrin
- 4% prilocaine when used for nerve block
- 2% procaine, 0.4% propoxycaine with a vasoconstrictor
- Medium-acting agents: These have a duration of action of 90–150 minutes.
- 4% prilocaine with 1:200,000 epinephrine
- 2% lidocaine and 2% mepivacaine with a vasoconstrictor (pulpal anesthesia)
- Long-acting agents: Here the duration of action is 180 minutes or longer
- 0.5% bupivacaine with 1:200,000 epinephrine
- 0.5% or 1.5% etidocaine with 1:200,000 epinephrine
Composition Of Local Anesthetic Agents
The components and functions of agents of Local anesthesia are as follows:
| Composition | Function |
| Lignocaine hydrochloride 2% (20mg/L) | Local Anesthetic agent |
| Sodium meta-bisulphite- (0.5mg) | Reducing Agent |
| Methylparaben-0.1%(1mg) | Preservative |
| Distilled Water | Diluting Agent |
| Thymol | Fungicide |
| Sodium Chloride or Ringer’s solution- 6mg | Isotonic Solution |
| Adrenaline-1:80000 (0.012mg) | Vasoconstrictor |
| Sodium hydroxide | To adjust pH |
| Nitrogen bubble-1.2mm in diameter | Prevent oxygen from being trapped in the cartridge and potentially destroying the vasopressor |
Lignocaine - Most common Local Anesthesia
Lignocaine is the most commonly used local anesthetic agent in dentistry. Vasoconstrictors (like epinephrine) are often used with local anesthetic solutions.
2mL of 2% lignocaine contains 36mg of lignocaine hydrochloride. In solutions 1:80,000 concentration of epinephrine contains 0.0125mg/mL and 1:100,000 concentration contains 0.01mg/mL of epinephrine.

The maximum recommended dose with or without constrictor differs and the dentist should follow the following instructions accordingly:
Maximum Recommended Dose of Local Anesthetic Agents with a Vasoconstrictor:
The recommended dose of lignocaine with vasoconstrictor, such as epinephrine is 7.0 mg/kg body weight but not exceed 500mg. A 2% lignocaine solution contains 2g/100mL of local anesthetic solution.
Hence, the maximum dose of 500mg of the agent will be contained in
(500 X 1/20) = 25mL
Or
12.5 cartridges of local anesthetic solution.
Maximum Recommended Dose of Local Anesthetic Agents without a Vasoconstrictor:
The recommended dose of lignocaine without constrictor is 4.4 mg/kg body weight but should not exceed 300mg. Here, a lesser dose is recommended because of the faster absorption of the local anesthetic agent. This dosage of 300mg will be contained in
(300 X 1/20) = 15mL
Or
7.5 cartridges of the local anesthetic solution.
Complications of Local Anesthesia
Let us now move on to the associated complications of using a local anesthetic agent and what you should keep in mind before administering it to your patients. It is important for a dentist to be aware of these complications, in addition to the above-mentioned basics of local anesthetic agents, to effectively manage and prevent a patient emergency.
Prolonged Paresthesia:
Many times, a patient may experience numbness or altered sensation in the area where anesthesia was administered during a dental procedure, not just for hours but for days, weeks, or even months. Paresthesia is defined as persistent anesthesia (anesthesia lasting well beyond the expected duration) or altered sensation well beyond the expected timeframe.
One major cause of this is trauma to the nerve sheath caused by the needle during injection. To prevent this, every dentist must strictly adhere to proper injection protocols and techniques. Additionally, careful handling of cartridges can help reduce the occurrence of paresthesia cases.

Trismus:
Trismus is defined as a prolonged, tetanic spasm of the jaw muscles that restricts normal mouth opening (locked jaw). The most common cause of trismus is trauma to muscles or blood vessels in the infratemporal fossa during the administration of local anesthesia. Other contributing factors include hemorrhage or excessive volumes of local anesthetic in a restricted area, leading to tissue distention.
To minimize the risk of trismus, practitioners should use atraumatic insertion and injection techniques, avoid repeated insertions in the same area by having a thorough understanding of anatomy and proper technique, and administer the minimum effective volume of local anesthesia.

Facial Nerve Paralysis:
Transient facial paralysis is often caused by injecting local anesthesia into the capsule of the parotid gland, located at the posterior border of the ramus and covered by the medial pterygoid and masseter muscles. Directing the needle posteriorly or over-inserting it can cause the tip to enter the parotid gland, eventually leading to transient facial nerve paralysis.
This condition is almost always preventable by adhering to proper protocols for the inferior alveolar nerve block (IANB) and the Vazirani-Akinosi nerve block. Ensuring that the needle tip contacts the medial part of the ramus before depositing the anesthetic solution prevents inadvertent deposition into the parotid gland during the IAN block.
If the needle deflects posteriorly during the nerve block and does not contact the bone, it should be withdrawn from the soft tissues, redirected more anteriorly, and readvanced until bone contact is achieved. During the Vazirani-Akinosi technique, over-insertion of the needle should be avoided.

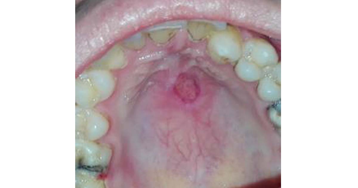
Postanesthetic Intraoral Lesions:
Patients may occasionally develop recurrent aphthous ulcers or herpes simplex following intraoral injection of local anesthetics. Herpes simplex lesions occur on oral mucosa attached to the bone, such as the palate and attached gingiva, whereas recurrent aphthous stomatitis develops on oral mucosa not attached to the bone, such as the buccal mucosa.
These lesions are caused by trauma from the needle or other instruments, which can reactivate the dormant disease. Therefore, dentists should handle soft tissues with care to minimize the risk of such lesions.

Drug Toxicity:
This occurs as a result of an overdose or excessive administration of local anesthesia. The blood level required to produce a toxic effect may vary for the same drug from one individual to another. Patients may exhibit clinical symptoms such as excitability, lethargy, increased blood pressure, unconsciousness, etc., caused by accidental intravascular injection, high dosage, or rapid absorption of local anesthesia into the bloodstream.
A thorough medical history should be taken before administering local anesthesia, the minimal effective volume of the drug should be used, aspiration should be performed, and slow deposition of the anesthetic should be ensured.
Allergy:
Allergy is defined as a hypersensitive state acquired through exposure to a particular allergen. Patients allergic to local anesthesia may present with clinical manifestations such as angioedema, dermatitis, fever, anaphylaxis, asthma, etc. To prevent such complications, a dentist should take a thorough patient history, and intradermal tests should be suggested to rule out any potential allergic reactions.

Contraindications of Local anesthesia
The administration of local anesthesia is not always suitable for every patient. In certain individuals, its use should be approached with caution, while in some cases, it must be completely avoided. When local anesthesia is contraindicated, pain management should rely on medications until it is safe to proceed. Below are the relative and absolute contraindications for the use of local anesthesia:
Relative Contraindications:
- Hyperthyroidism
- Atypical plasma cholinesterase
- Chronic renal failure
- Pregnancy- during the first trimester
- Hypertension
Absolute Contraindications:
- Myocardial infarction within 6 months
- Recent hepatitis A or hepatitis B
- Local infections or sepsis
- Jaundice
- Hypersensitivity to lidocaine
Conclusion:
This blog serves as a quick refresher on the fundamentals of local anesthesia, helping practicing dentists stay mindful of essential considerations in their clinical practice. It is crucial to stay updated and regularly revise these basics to ensure the best possible care for patients.
Local anesthesia is an indispensable part of everyday dental procedures, and maintaining a reliable stock is essential. You can conveniently find a range of local anesthetic agents on DentalKart. Stay informed, be vigilant about both foundational principles and emerging advancements and continue delivering exceptional care with DentalKart.
Dr. Vandana Tanwar
Author
Related Articles

Types of Burs in Dentistry: A Comprehensive Guide
Dental burs are among the most frequently used rotary instruments in clinical dentistry. Their design, material, and shape directly influence cutting efficienc

Bulk-Fill Composites vs. Layering Technique: Which Gives Better Longevity?
Introduction In modern restorative dentistry, the posterior composite is a staple of daily practice. For decades, the Incremental Layering Technique was the

Managing Tooth HyperSensitivity: Diagnosis & Treatment Options
Tooth sensitivity—also known as dentin hypersensitivity—is a common problem where teeth experience sharp pain when exposed to certain triggers like hot, cold,