
Tooth Scaling Truths Every Dentist Should Share with Patients
As dentists, we are frequently met with concerns and misconceptions about tooth scaling—questions like “Will it loosen my teeth?” or “Will it create gaps between my teeth?” are common. Addressing these doubts can sometimes feel overwhelming, especially when you're trying to reassure a nervous patient while staying on schedule.
In this blog, we’ll go over some of the most common myths patients bring up about ultrasonic tooth scaling and how you can effectively bust them with clear, simple explanations. These myth-busting tips will not only help ease your patients' anxieties but also make your day-to-day dental practice smoother and more rewarding.
What is Ultrasonic Tooth Scaling?
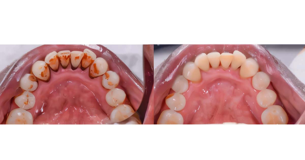
Ultrasonic tooth scaling is a teeth cleaning procedure that uses high frequency ultrasonic vibrations to remove calculus and stains both supra and subgingivally. It is often preferred over the hand scaling during the daily dental practice except for few cases like in patients of cadiac pacemakers, hypersentivity, highly demineralised areas etc.
Read Also: Daily Oral Care: Best Dental Hygiene Products for Every Day

Common Myths About Tooth Scaling Heard in Daily Dental Practice – And How to Bust Them Easily
Myth 1: Scaling makes teeth loose
You must have often gotten this response from your patients—that their teeth became loose once they got their scaling done. But it is important to explain that the calculus surrounding the tooth is what gives a false sense of support to the teeth. This "support" is actually harmful, as it shifts the gingival tissue and contributes to periodontal issues.
When this calculus is removed during scaling, the unhealthy support is eliminated, which then allows the gingiva to return to its proper position. It is important to discuss these things with the patient before starting the procedure so they are prepared for the possibility that their teeth might feel lighter or slightly loose for some time after scaling. They should be advised to follow the prescribed antibiotic regimen, perform gingival massage with the appropriate medication, and take other necessary precautions to allow the gingiva to heal from the trauma caused by the calculus.
Myth 2: Scaling increases the gap between teeth
Another myth often mentioned by patients is that scaling increases the gap between their teeth. You need to explain to them that it is actually the hard calculus deposited between the teeth that creates the illusion of no gap. Once this calculus is removed, the teeth may appear to have gaps between them.
However, with the right medication and precautions, the gingiva can heal and, to some extent, return to their proper position. It’s important to clarify that there is no pathological shift or change in the orientation of the teeth—only the removal of harmful deposits that were falsely occupying the space.

Myth 3: Scaling is painful
Scaling is one of the minor, routine dental procedures that is often unnecessarily hyped up as being painful. It is important to explain to patients that the procedure is generally painless, as it involves the use of mild vibrations from an ultrasonic scaler to clean the surface of the teeth.
In cases where the patient experiences minor discomfort, the use of topical anesthesia is recommended to ensure the procedure remains comfortable.
Myth 4: Scaling causes grinding of the teeth
Another myth often mentioned by patients is that scaling causes grinding of the teeth. It should be explained to them that ultrasonic tips have blunt ends and work using mechanical vibrations along with continuous water irrigation.
They are designed only to remove calculus from the tooth surface and are not capable of grinding or damaging the tooth structure.
Myth 5: Teeth become sensitive after scaling
As dentists, we need to clarify to patients that tooth sensitivity after scaling is a temporary and common phase. It usually lasts only for a few days. By following the post-scaling care instructions properly, patients can expect healthier gingiva and improved overall oral health.

Post-Scaling Instructions and Medications (Must Be Given Without Fail):
- Antibiotics such as doxycycline should be prescribed to prevent any further infection or inflammation following scaling.
- Pain-relieving medications like ibuprofen or acetaminophen should be prescribed only if the patient complains of moderate pain, which is usually rare. In most cases, other precautions are sufficient to relieve minor discomfort.
- Antiseptic mouthwash containing chlorhexidine gluconate should be recommended to help control bacterial growth and promote faster healing.
- Warm saline rinses should be advised several times a day to soothe the gingiva and further support the healing process.
- Clear instructions should be given to stop smoking, avoid tobacco in any form, and refrain from consuming alcohol, as these can hinder the healing process.
- Soft and non-spicy foods should be suggested to minimize any irritation to the treated areas.
- Gum paints should be applied gently on the gingiva using fingers as instructed, to aid in the healing process and provide comfort.
Conclusion:
Tooth scaling is a fundamental part of preventive dental care, and when done correctly, it significantly improves a patient’s oral health. However, misinformation and fear often stand in the way of patient compliance. As dental professionals, it's our responsibility to address these myths with patience, clarity, and clinical confidence. Because, when patients feel informed and reassured, they're more likely to follow through with treatment and return for regular care.
And for dentists looking to ensure high-quality, efficient scaling procedures in their clinics, investing in reliable equipment is key. You can explore a wide range of top-rated ultrasonic scalers, at Dentalkart—trusted by dentists across India for quality and affordability. Make informed choices, educate your patients, and keep those smiles healthy—one scaling session at a time!
Frequently Asked Questions:
Scaling removes harmful calculus (tartar) that can give a false sense of support to the teeth. Once this buildup is removed, teeth may feel slightly loose temporarily. However, as the gums (gingiva) heal and return to their proper position, this sensation typically resolves. It's important to inform patients about this possibility beforehand to prevent unnecessary concern.
Scaling does not create new gaps. The hard calculus deposited between teeth can hide natural spaces, so once removed, teeth may appear to have gaps. With proper medication and care, the gingiva can heal and partially restore their position.
Scaling is generally painless as it uses mild ultrasonic vibrations to clean teeth. If discomfort occurs, topical anesthesia can be applied to ensure patient comfort during the procedure.
Antibiotics such as doxycycline may be prescribed to prevent infection, along with pain relief medications if necessary. Antiseptic mouthwash containing chlorhexidine, warm saline rinses, and advice to avoid smoking, alcohol, and spicy foods are important. Gum paints may also be recommended to promote healing.
Dr. Vandana Tanwar
Author
Related Articles

Types of Burs in Dentistry: A Comprehensive Guide
Dental burs are among the most frequently used rotary instruments in clinical dentistry. Their design, material, and shape directly influence cutting efficienc

Bulk-Fill Composites vs. Layering Technique: Which Gives Better Longevity?
Introduction In modern restorative dentistry, the posterior composite is a staple of daily practice. For decades, the Incremental Layering Technique was the

Managing Tooth HyperSensitivity: Diagnosis & Treatment Options
Tooth sensitivity—also known as dentin hypersensitivity—is a common problem where teeth experience sharp pain when exposed to certain triggers like hot, cold,