
Types of Retainers in Dentistry: Removable Vs Permanent
Dr. Vandana Tanwar
Contributing Dental Clinician
October 25, 2024
7 min read
Types of Retainers - Hey, dental dynamos! We all know that the journey to stunning smiles does not end with braces for our patients. But what is to be done to maintain their pearly whites? Enter the unsung heroes of orthodontics – Retainers. These are essential tools in maintaining the integrity of our patients’ smiles.
In this article, we will delve into the various types of retainers – removable and fixed – highlighting their applications and clinical advantages. Join us as we explore the nuances of retainers and equip ourselves with the knowledge to serve our patients better and ensure that they leave your dental office with smiles that last a lifetime.
What is a Retainer?
Retainers are passive devices used in orthodontic treatment to maintain and stabilize the position of teeth for a longer period, allowing the supporting structures to reorganize after active orthodontic therapy. The choice of retainer depends on various factors, including the type of malocclusion being addressed, aesthetic preferences, the patient's oral hygiene, compliance, and the duration of retention.Retention Decisions: Short-Term vs. Long-Term in Orthodontic Treatment
Limited or short-term retention: Most cases treated routinely in the orthodontic clinic fall into this category. Retention is recommended to allow the bone and other periodontal tissues to readapt to their new location.- Class I non-extraction with dental arches showing proclination and spacing.
- Deep bites
- Class I, Class II, div. 1, and div. 2 cases treated by extraction.
- Midline diastema
- Severe rotations
- Arch expansion achieved without ensuring good occlusion
- Certain Class II, div.2 deep bite cases
- Patients exhibiting abnormal musculature or tongue habits
- Expanded arches in cleft palate patients.
Classification of Retainers:
- Removable retainers
- Permanent retainers
Removable Retainers:
These are passive appliances that can be removed by the patient and reinserted at will.1. Hawley’s Retainer
Hawley’s Retainer is the most commonly used retainer in orthodontics. It includes clasps on the molars and a short labial bow that stretches from canine to canine, complete with adjustment loops. This simple design can be modified in several ways to suit specific requirements for a particular patient. For instance, the labial bow can be extended from the first premolar to the opposite first premolar, which helps close spaces behind the canine. Another modification involves soldering the bow bridge of Adam’s clasp, which prevents the space between the canine and premolar from opening due to crossover wires. The fitted labial bow can also be used to offer excellent retention. Anterior bite planes can also be added to retain or correct deep bite cases.
2. Begg’s retainer
Begg’s retainer consists of a labial wire that extends till the last erupted molar and curves around it to get embedded in acrylic that spans the palate. The advantage of this retainer is that there is no cross-over wire between canine and premolar thereby eliminating the risk of space opening up.
3. Clip-on retainer/ spring aligner
This appliance features a wire framework that extends labially over the incisors, passing between the canine and premolar before curving to rest on the lingual surface. Both the labial as well as lingual wire segments are embedded in a strip of clear acrylic. This retainer can be used to bring about the correction of rotations commonly seen in the lower anterior region. Several modifications are done to prevent swallowing or aspiration like adding clasps, lingual acrylic flanges, etc.
4. Kesling tooth positioner
This tooth retainer is constructed from a thermoplastic rubber-like material that bridges the interocclusal space, covering the clinical crowns of both the upper and lower teeth, along with a small portion of the gingiva. The tooth positioner needs no activation at regular intervals and is durable.
5. Invisible retainer
These retainers fully encase the clinical crowns and part of the gingival tissue. They are made of ultra-thin transparent thermos-plastic sheets using a thermoforming machine. They are aesthetic and often go unnoticed. The other advantage of a clear appliance is that it is less bulky, and thus does not interfere with speech. They are also devoid of unaesthetic metal components. They are quick to fabricate and relatively inexpensive. These clear retainers are usually made for the six anterior teeth. However, if the treatment involves extraction of the first premolar they extend up to the distal of the second premolar. In the case of second premolar extraction, they are to be extended up to the distal of the first molar.
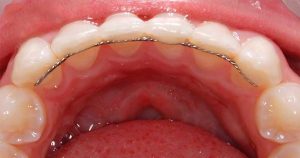
Permanent Retainers:
These retainers are permanently attached to the teeth and cannot be removed or reinserted by the patient.1. Banded canine-to-canine retainer
This type of retainer is commonly used in the lower anterior region. The canines are banded, and a thick wire is shaped over the lingual surfaces and soldered to the canine bands. However, the bands can lead to poor oral hygiene and a lack of aesthetic appeal. In addition, when these retainers are removed band spaces are seen around these bands. These disadvantages have contributed to the declining popularity of banded retainers compared to bonded options.
2. Bonded lingual retainer
They are retainers that are bonded on the lingual aspect to follow the anterior curvature. The ends are curved over the canines where they are bonded. The disadvantage of this design is that the anterior teeth can sometimes rotate. This is overcome by using bonded retainers that are bonded to each of the anterior teeth from the canine to canine. In case extractions have been done as part of the orthodontic treatment it may be advisable to extend the retainer to include the first premolars of both sides. Read also: Fixed Orthodontics vs. Clear Aligners: A Comprehensive Comparison for Dental Professionals In recent times usage of braided or multistranded wires has increased. The advantage of this type of retainer is that all the individual teeth are retained with no possibility of rotation of the incisors. In addition, the use of lighter braided wires permits physiological movement of the teeth within the periodontal ligament.
3. Band and spur retainer
This type of retainer is used for cases where a single tooth has undergone orthodontic treatment for rotation correction or labio-lingual displacement. The treated tooth is banded, and spurs are soldered to the bands to overlap the adjacent teeth. In case it is used to retain a tooth that has been blocked palatally, the spurs are made on the labial aspect so that the tooth does not once again get displaced palatally. In derotation cases, one spur is positioned labially (on the side where the tooth tends to rotate palatally) and the other is placed lingually to prevent relapse.
Post-insertion guidelines to be given to the patient
- Tell the patient to remove the retainer when consuming food or drinks be it a cold one or hot one.
- Instruct them to keep it in a case to prevent any bacteria or microorganism growth on it.
- Advise them to keep their removable retainer clean with regular rinsing and brushing with antibacterial soap and water. (Some toothpastes can be overly abrasive and may damage your retainer.)
- If the patient’s retainer turns yellow, instruct them to gently scrub it with water, baking soda, and a soft toothbrush.
- For fixed retainers, instruct them for regular mouthwash and brushing.
- If he/she loses, misplaces, or breaks their retainers, tell them to contact you immediately.
- In case the fitting of the retainer changes, schedule an appointment immediately.
- Regular follow-up appointments either monthly, quarterly, or annually as per the need should be scheduled.
Conclusion:
Keeping smiles in line long after braces come off is where the real magic happens, and it is only a retainer that can help us accomplish this. Each type, from removable to fixed, offers unique advantages that can cater to our patients’ diverse needs. By mastering the nuances of these devices, we can empower ourselves to provide exceptional care to our patients. And let’s not forget the importance of equipping our patients with the right knowledge on retainer care—after all, a little education goes a long way in preserving the results! So, stay tuned for our next blog on dentalkart.com, where we’ll dive into another latest topic from dentistry that will help you transform your patient care. Until then, keep those smiles shining and your retainer game strong!Written by
Dr. Vandana Tanwar
Contributing Dental Clinician
A contributing clinician at Dentalkart Blogs, Dr. Vandana Tanwar translates day-to-day chair-side learnings into evidence-based guides for dentists working across India.
Keep reading
Browse all →
7 min
Safe Orthodontic Bracket Debonding
Safe Orthodontic Bracket DebondingMinimising Iatrogenic Enamel Damage The final appointment is a critical moment in orthodontic care. Safely removing brackets w

7 min
Direct vs Indirect Orthodontic Bonding
Direct vs Indirect Bracket PlacementChoosing Your Best Method Achieving precise bracket placement is fundamental to successful orthodontic outcomes. In a busy p

7 min
Choosing Your Orthodontic Curing Light
Choosing Your Orthodontic Curing LightKey Features for Efficient Bonding Achieving a strong, reliable bond is the cornerstone of successful orthodontic treatmen