
Woodpecker i-Sensor RVG: A New Era in Dental Radiography?
Woodpecker i-Sensor RVG: A New Era in Dental Radiography? - Radiovisiography (RVG) is no news to a dental practitioner since it is now widely used as a better alternative to conventional radiography. This imaging system proved to be a boon to dentistry in capturing digital intraoral periapical radiographs instantly and store them easily for future reference.
Woodpecker i-Sensor RVG: A New Era in Dental Radiography?
Ever since RVG technology came into existence, several dental products manufacturing companies are bringing in their own customized models of RVG.
Why do we need an RVG? -

It took a few years for the RVG to reach most of the dental set-ups as it is quite an investment to think of. Considering its benefits RVG found place in quite many dental premises but not all yet. Still there are many dentists who follow conventional methods of radiography as it is not an easy buy from an economical point of view.

Woodpecker has however revolutionized this incredible technology in a way that it can be a part of every dentist’s next list of items to be bought. Woodpecker’s i sensor RVG has launched it with every feature that one would find in others but with an unmatchable price.

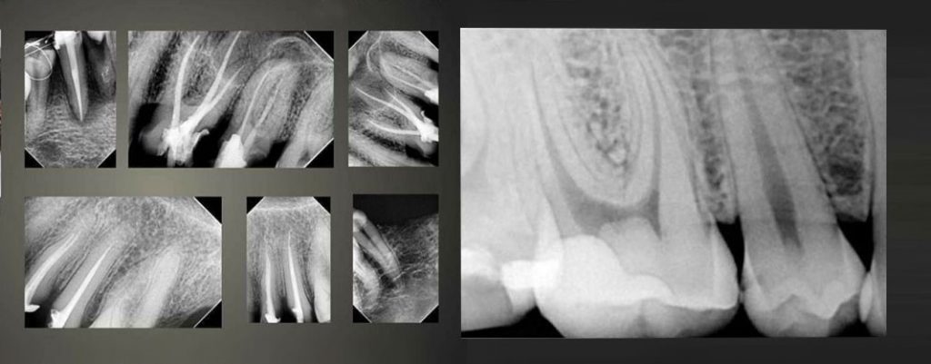
Thinnest sensor (4.4mm) as compared to all others available, ergonomic design, dust-proof and water-proof. Excellent imaging resolution (25lp/mm theoretical resolution), C Mos technology, H1 & H2 sensor types and high flexibility of its cable puts this device in an absolute win-win situation. All its edges are curved to provide maximum comfort to the patient and avoid any accidental injuries. Its reliability and durability increase clinical productivity and a pleasant experience to the patients.
Click Woodpecker i-Sensor RVG here for more information.

Entire imaging process is so fast that it can be done within 3 seconds. Its smart software is user-friendly and quality of any radiographic image can be improved with just one click. Woodpecker also offers free timely upgrades in the software. Images can be processed as per requirement via simple tolls in the software. Another astonishing feature is that more than one computer can be connected to the software license.

It would be interesting to see reaction of other renowned brands to this game-changing action by Woodpecker. Let us see if others also change their strategies to fight and survive beside Woodpecker’s i sensor RVG. It has churned the market as it brings with it the best features in most economical price. Seldom we see such a price drop in high precision technologies, so this would certainly prove to be a sensational switch.
Few RVG sensors along with their prices:

Woodpecker has taken digital radiography to next level with this transformation. It has brought state-of-the-art experience and technology in reach to every dental practice.
Time would disclose if there is still some scope to have better than the best. Good news for users is that competition is an unstoppable race and it brings out the best in products.
So, no more blind dentistry, and kudos to Woodpecker i sensor RVG!
Dr. Honey Singhal
Author
Related Articles

Self-Etch vs. Selective-Etch vs Total-Etch: A Clinical Decision Guide for Everyday Restorations
IntroductionIn restorative dentistry, bonding success does not depend only on the composite resin or adhesive brand. More often than not, long-term success or f

Tissue-Level vs Bone-Level Implants: Clinical Selection Guide
In modern implantology, the debate isn't about which system is "better," but rather which design is most compatible with the patient’s specific anatomy. Implan

Paediatric Pulp Therapy: Guidelines & Best Materials (Pulpotomy / Pulpectomy)
Introduction to Pediatric Pulp Therapy In children, caries reaches the pulp fast because primary teeth have thinner enamel, dentin and larger pulp chambers.