
Teeth Whitening : Types, Procedure and Technique
Dr. Vandana Tanwar
Contributing Dental Clinician
November 8, 2024
6 min read
Greetings, dental professionals! Are you prepared to improve the smiles of your patients and increase their self-confidence? Teeth whitening is not just a cosmetic fad, but rather an essential treatment that can help improve the quality of your patients’ lives. Whether it is the stubborn stains or the dullness related to aging, you have the solutions to restore their youthful gleam.
In this blog, we’ll explore the various techniques of teeth whitening, including intra-coronal and extra-coronal bleaching methods. Let us get ready for some updated procedures to make sure all the patients walk out of the chairs with the widest smiles on their faces! After all, a brighter smile means happier patients—and who doesn’t want that?
IN–OFFICE THERMOCATALYTIC BLEACH TECHNIQUE
In this method also, an endodontically treated tooth is prepared as was done for the walking bleach but is then followed by placing a loose mat of cotton on the labial and the pulp chamber of the tooth to be bleached. These loose mats are saturated with 30% Hydrogen peroxide which is activated by exposing it to light and heat from a powerful light source.
The tooth is subjected to several, usually 5-6 minute exposures and the bleaching solution is replenished at frequent intervals. On completion of the bleaching process, a pellet of cotton moistened in hydrogen peroxide or hydrogen peroxide and sodium perborate is sealed in the pulp chamber until the following appointment.
This can also be used in combination with the walking bleach technique.
Some In–office Vital Bleaching kits for you to explore:
AT – HOME BLEACHING TECHNIQUE:
At–home bleaching is the more commonly used technique because it is easy to perform and usually less expensive for the patient. It uses a custom-fit tray with 10% carbamide peroxide. Carbamide peroxide is more stable than hydrogen peroxide and can be active for up to several hours. However, this technique requires methodical documentation and execution of the following things:
What is teeth whitening?
Teeth whitening or bleaching involves the lightening of color of the tooth by the use of chemical agents to oxidize the organic pigmentation in the tooth.When does a patient require Teeth whitening?
While several tooth discolorations such as tobacco stains, tea, and coffee stains, green discolorations associated with Nasmyths’s membrane in children, etc., can be removed by regular appointments of scaling and polishing during tooth prophylaxis still, there are times when the stains due to similar or different reasons that cannot be removed easily. So, what are the situations where bleaching is necessary? Let’s explore.- When the staining from beverages like tea, coffee, red wine, or chewing tobacco, is of higher grade and shows no lightening post oral prophylaxis.
- Staining from silver nitrate
- Stains caused by medications like tetracycline, antihistamines, antipsychotics, chemotherapy, etc.
- Fluorosis
- Stains caused due to systemic conditions like Jaundice and Porphyria
- Tooth discoloration following dental trauma and decomposition of pulp.
- Discoloration caused by silver amalgam fillings, root canal medicaments for example essential oils from resinous substances.
- Aging, which causes the physiological deposition of secondary dentin leading to a more opaque appearance of teeth.
What are the different methods of bleaching?
A) Intracoronal bleaching (bleaching of endodontically treated tooth/nonvital bleaching)- Walking bleach technique
- In-office thermocatalytic bleach
- In–office vital bleach
- At–home bleach
Intracoronal bleaching (bleaching of endodontically treated tooth/nonvital bleaching):
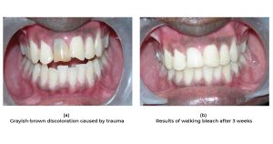
WALKING BLEACH TECHNIQUE In this, the bleaching of an endodontically treated tooth is done when the internal staining of the dentin is caused by the remnants of obturating materials in the pulp chamber, as well as debris in the pulp horns. Part of the coronal restoration is removed followed by the removal of part of gutta-percha present just below the cervical margin. A paste of sodium perborate and water is then applied. Temporary filling is done and the patient is recalled for appointments to check whether the tooth has reached the desired shade stage. When the desired results are met, the permanent restoration is placed, and an acid-etched composite is placed to restore the lingual access. It is done in the tooth with discoloration of the pulp chamber, dentin, and discolorations which are not amenable to extracoronal bleaching.
IN–OFFICE THERMOCATALYTIC BLEACH TECHNIQUE
In this method also, an endodontically treated tooth is prepared as was done for the walking bleach but is then followed by placing a loose mat of cotton on the labial and the pulp chamber of the tooth to be bleached. These loose mats are saturated with 30% Hydrogen peroxide which is activated by exposing it to light and heat from a powerful light source.
The tooth is subjected to several, usually 5-6 minute exposures and the bleaching solution is replenished at frequent intervals. On completion of the bleaching process, a pellet of cotton moistened in hydrogen peroxide or hydrogen peroxide and sodium perborate is sealed in the pulp chamber until the following appointment.
This can also be used in combination with the walking bleach technique.
Extracoronal bleaching (Vital Tooth Bleaching):
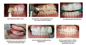
IN–OFFICE VITAL BLEACH TECHNIQUE- This technique generally uses a 35% hydrogen peroxide solution that is directly placed on the teeth. The bleaching agent is commercially available in the form of the gel which prevents running of the material on the application. This may involve the application of heat and/or light to activate the bleaching agent, hence called thermocatalytic bleaching. With this technique, patient compliance is not a major factor since effective results can be obtained in two to three visits. Usually done in teeth with mild fluorosis, and tetracycline stains or in severe discolorations. Bleaching could also be performed to lighten the tooth color before restoration with bonded resin or porcelain veneers or crowns. It can also be used to match the color of an existing crown that is lighter than the natural teeth.
Some In–office Vital Bleaching kits for you to explore:
AT – HOME BLEACHING TECHNIQUE:
At–home bleaching is the more commonly used technique because it is easy to perform and usually less expensive for the patient. It uses a custom-fit tray with 10% carbamide peroxide. Carbamide peroxide is more stable than hydrogen peroxide and can be active for up to several hours. However, this technique requires methodical documentation and execution of the following things:
- Dental and medical history
- Clinical examination
- Radiographs of the teeth being treated
- Impression of the dental arches to make bleaching trays
- Follow-up visits to monitor progress and ensure compliance
Five A’s that you can tell your patients as to why they should get their Professional Teeth Whitening done:
- Assessment: A professional evaluation ensures the right treatment for their specific dental condition.
- Advanced techniques: Dentists utilize superior whitening methods that offer better results than the trendy at-home kits, gums, toothpaste, and teeth whitening markers.
- Avoid damage: Professional care minimizes the risk of enamel damage and sensitivity often associated with DIY methods and products.
- Assurance: Patients receive expert guidance throughout the process, ensuring safety and satisfaction.
- Aftercare: Dentists provide tailored aftercare advice to maintain their results longer.
Conclusion:
Being dentists presents a greater chance for us to improve our patient’s quality of life by offering a plethora of teeth whitening options. It is beneficial to motivate our patients to opt for professional whitening because this enables us to provide better care and reduces the chances of exposure from using over-the-counter alternatives. Remember, a bright smile can be a transformative experience for our patients, boosting their confidence and overall well-being. Let’s stay informed about the latest advancements in teeth whitening techniques and best practices, so we can continue to deliver exceptional outcomes. Together, we can help our patients achieve the radiant smiles they desire, fostering long-lasting relationships built on trust and excellence in care. Also, be sure to explore the exclusive bleaching products available on DentalKart, to provide your patients with top-notch, professional-grade whitening solutions conveniently at hand. Reference: Grossman’s Endodontic Practice 13th Edition.Written by
Dr. Vandana Tanwar
Contributing Dental Clinician
A contributing clinician at Dentalkart Blogs, Dr. Vandana Tanwar translates day-to-day chair-side learnings into evidence-based guides for dentists working across India.
Keep reading
Browse all →
6 min
Choosing Composite vs Porcelain Dental Veneers
Composite vs Porcelain Smile DesignA Clinical Selection Guide The demand for cosmetic smile enhancement is rapidly growing. This guide provides a framework for

4 min
Step-by-Step Protocols for Minimally Invasive Cosmetic Dentistry (No-Prep Veneers & More)
Cosmetic dentistry is no longer about aggressive tooth reduction it is about preserving enamel, enhancing aesthetics, and maintaining long-term tooth health. To

3 min
Composite Vs Porcelain Veneers: Which is Right for Your Smile?
Composite Vs Porcelain Veneers: Any smile coming right from the heart is beautiful. Dental intervention can make it even more aesthetically pleasant, if require